審美歯科とは、歯や口元を美しくすることに重点を置いた治療です。
機能面と審美性に優れた治療を提供できます。
事前にしっかりとカウンセリングを行い、機能的で美しい歯の提供を心がけています。
ALL-CERAMIC オールセラミック
従来、保険適用外の白い歯というのは、金属の内冠(人工の根の上にかぶせる歯の土台のこと)の上に陶材を焼き付けた陶材焼付金属冠(メタルボンド)というものでした。
これは、内面に金属を使用することで金属アレルギーや光を遮蔽し、不透明になるという問題がありました。
そこで金属を全く用いないオールセラミッククラウンというものが登場しました。
当院では、光の遮蔽性が天然歯に近い、ガラスセラミックス(IPS e.max)とジルコニアというオールセラミックを使用し、より透明感のある美しい色を再現しています。
まず、施術前の口腔内及び顔ぼうの写真をデータ化し、各個人にあった機能的かつ審美的な口元を再現するために、患者様と対話しながら治療計画をすすめています。

IPS e.max
症例紹介
-
費用
1歯:110,000円(税別)
-
リスクと副作用
・金属単体のインレー・クラウンより若干、歯の体積を削る量が多いことがあります。
・個人差により、ごく稀に欠けたり壊れる可能性があります。
・事前に神経の処置(根管治療)や土台(コア)の処置が必要となることがあります。
・咬み合わせ・歯ぎしりの強い方は、破損防止のためにマウスピースをおすすめすることがあります。 -
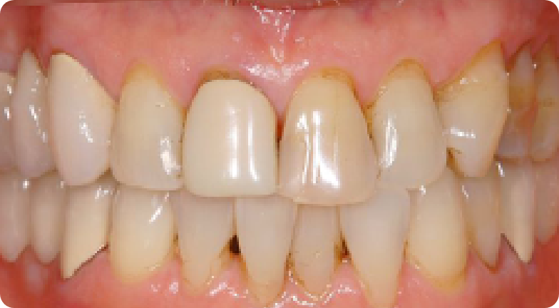
症例:1

Before

After
症例:2

Before

After
症例:3

Before

After
LAMINATED VENEER ラミネートべニア
歯と歯の間が空いている、歯が曲がっている、歯の大きさに不揃いがある、歯の色が悪いなどの修復処置に使用します。
ラミネートべニアは、歯の付け爪のようなもので、薄いセラミックを歯の表面に貼り付けることにより、理想的な色・大きさ・バランスで前歯を作り上げます。
材料はセラミックで、歯の表面を僅かに削り、セラミックシェルを強力な接着剤で貼りつけます。
従来のものと比べて、歯の削除量も少ないため、ダメージも少なく、麻酔量も少なくてすみます。

治療イメージ
症例紹介
-
費用
1歯:110,000円(税別)
-
リスクと副作用
・前歯の表面を薄く削る必要があります。
・個人差により、また、強い力が加わると、ごく稀に割れたり外れたりする可能性があります。
・咬み合わせ・歯ぎしりの強い方は、破損防止のためにマウスピースをおすすめすることがあります。
・極度に強く変色している前歯には適用不可なことがあります。
・歯科医師によって治療精度にばらつきがあります。 -
症例:1

Before

After
症例:2

Before

After
症例:3

Before

After
症例:4

Before

After
WHITENING ホワイトニング
ホワイトニングには、歯科医院で行う「オフィスホワイトニング」と、ご自宅で行う「ホームホワイトニング」があります。それぞれのホワイトニングを併用することで、より高い効果を得ることができる「デュアルホワイトニング」も当院ではおこなっています。
また当院では、ホワイトニングと併せてPMTCをお勧めしています。
PMTCを事前に行ったキレイな歯にホワイトニングを行う事で、より一層のホワイトニング効果が期待できます。

-
オフィスホワイトニング
歯科医院で行うホワイトニングの方法で、医院で施術するため、濃度の高い薬剤を使用することができます。
そのため、ホワイトニングの効果は短時間で表れますが、その白さを維持するには定期的なホワイトニングが必要になります。 -
ホームホワイトニング
ご自宅で行うホワイトニングの方法で、専用のマウスピースを作り、ホワイトニングキットをご自宅へ持ち帰って頂き、それを使ってホワイトニングを行います。
オフィスホワイトニングと比べると効果が表れるのには時間がかかりますが、いつでも行えるため、白さを維持しやすいというメリットがあります。 -
デュアルホワイトニング
ホームホワイトニングとオフィスホワイトニングの両方を行う方法です。
どちらかのホワイトニングだけ行うよりも効果が高く、短期間で白くすることができます。さらにホワイトニング効果を長期間維持することができます。
症例紹介
-
費用
マウスピース+薬剤(2週間):上下各20,000円(税別)、追加の薬剤:5,000円(税別)
-
リスクと副作用
・ご希望の白さにならない場合があります。(個人差があります)
・施術後に獲得した白さは後戻りすることがあります。
・稀に歯がしみる等の知覚過敏症状が起こる場合があります。
・施術後、稀に痛みが出る可能性があります。(24時間経過すると軽減します)
・施術から24時間は、喫煙(タバコ)・お茶・コーヒー・ワイン・カレーなど色の付きやすい食べ物や飲み物・嗜好品は控えてください。
・知覚過敏が重度な方はホワイトニングが出来ない場合があります。
・生まれつき歯がくすみ・黄ばみのある方は、漂白効果が出ないことがあります。
・神経を取った歯(神経が死んで変色した歯)、重度のテトラサイクリンによる歯の黄ばみ、くすみ・暗さの方は効果が出ません。
・施術後、稀に白さが「まだら」になることがあります。
・むし歯、歯周病など病変のある方はすぐにホワイトニングができないことがあります。※当院では、上記のようなリスクや副作用が起こらないよう、事前診査・診断、治療計画をしっかりと行い、安全性を期したホワイトニング治療を心がけております。
-
症例:1

Before

After
症例:2

Before

After